real patients, real results
At Center for Advanced Dentistry, we believe every smile has a story—and we’re proud to help our patients rewrite theirs. From restoring confidence through full-mouth rehabilitation to helping fearful patients find their footing through sedation-supported procedures, we’re here to create transformations that feel just as good as they look. Explore some of the amazing smiles we’ve helped bring to life.
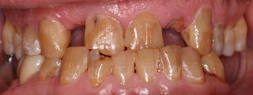
before

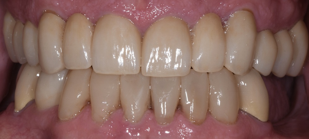
after

All-On-X
This patient came to us with advanced gum disease and issues with previous dental bridges. We restored their smile using dental implants and implant-supported bridges, giving them a strong, natural-looking smile that’s healthy, stable, and easy to care for.
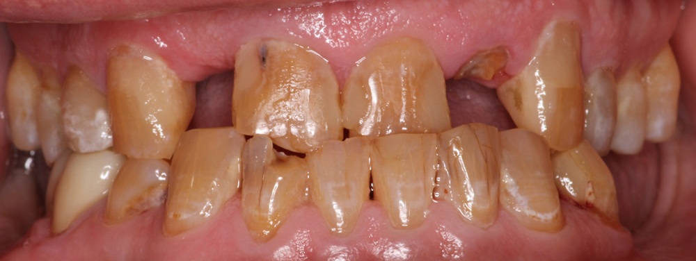
before

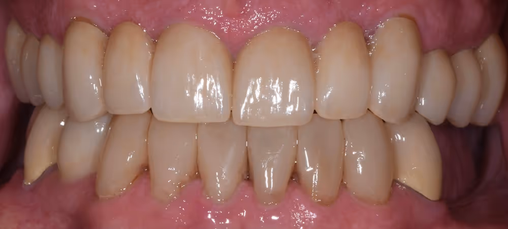
after

Full Mouth Rehab
This patient came to us with teeth that were worn down and damaged. We were able to restore their smile using a combination of crowns, bridges, and a partial denture. The result is a healthy, fully functional smile that looks natural and gives the patient confidence in both their appearance and oral health.

